近日,绍兴市中医院实施一例脑部胶质瘤复发肿瘤切除手术,手术成功,患者恢复良好。
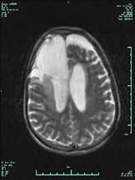
患者金某,61岁,6年前因患脑部胶质瘤在外院行手术治疗,术后恢复良好,生活过得也比较幸福。然而近半年来患者频发头痛,有时疼痛难忍,口服药物无法缓解,患者于2015年9月15日入住该院神经内科,经应用脱水、止痛等药物治疗症状无明显好转,查头颅MR示“颅内胶质瘤术后,水肿明显,中线略左移”,基本诊断脑部肿瘤复发。随着病程进展,脑疝一旦发生,随时有生命危险,家属陷入极度绝望之中。神经外科王风永主任医师得知情况后积极会诊,为缓解患者症状,延长生命周期,建议手术治疗,并组织科室进行讨论,考虑患者右侧额叶病灶越过中线结构并向左侧移位(10mm),大脑镰疝可能,周围脑水肿明显,中线左移,高颅压症状明显,具有明确手术指征,建议家属转神经外科行手术治疗。为了缓解患者症状,延长其生命时间,家属忧心忡忡地咨询王主任手术情况,王主任耐心、仔细、全面地把手术过程、手术并发症、术后康复及预后等情况告知家属,沟通比较充分,征得了家属的同意和支持。
在家属的期盼中,十二病区医护积极完善术前准备,排除手术禁忌,于9月25日进行了“右额复发胶质瘤切除”手术,在麻醉科、手术室等兄弟科室的密切配合下,历时4小时余,手术成功实施。术后入ICU监护诊治,病情稳定后于9月29日转回十二病区继续治疗。因患者复发胶质瘤巨大,切除病变范围较大,术后患者左侧肢体肌力、活动恢复缓慢,为了患者早日得到康复,十二病区医生、护士共同精心照理,予针灸、康复锻炼等理疗,家属密切配合,患者病情逐渐恢复,三周后左侧肢体肌力恢复IV级,一月后综合病情恢复可,复查结果良好,于11月7日康复出院,家属满意而归。
这是由绍兴市中医院医生主刀,成功施行的第二例脑部肿瘤切除手术,随着医院神经外科逐渐成长,多学科良好协作,脑部危重疑难病人的救治能力得到了进一步提高。
术前MR



术后MR


